Case Studies

Real Patient Success Stories & Smile Transformations

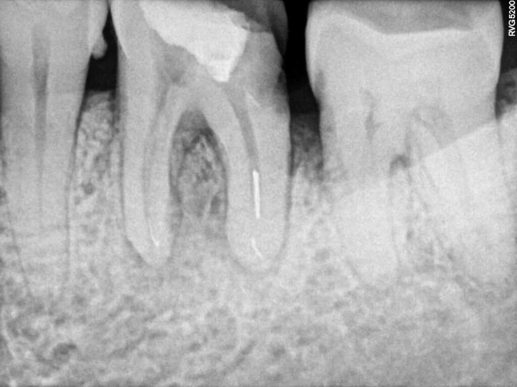
1. Separated instrument successfully removed under a microscope

Root Canal Treatment

Removing tiny instrument from canal is extremely difficult treatment and it requires high skills, precision and efforts.
The patient was referred to our practice to remove the instrument seperated accidentally by referral dentist and complete the treatment.

Case Studies

separated Instrumentis successfully removed under microscope

Root Canal with Dental Filling

Root canal completed along with restoration and patient referred back to dentist for further treatment

2. Re-Root Canal Treatment at Microdent Dentistry Pune

Re-Root Canal Treatment
Re-Root Canal Treatment
Re-Root Canal Treatment

Patient Background: Dentist accidentally broke the fine ( instrument ) in one root .. Patient was referred to our practice for re treatment of root canal and retrieval of seperated instrument.

First visit :- Instrument retrieval.. referral case ..
instrument retrieval done successfully and dressing given

Second visit :- pre obturation x ray taken and dressing given with calcium hydroxide

Third visit :- obturation of canals and root canal treatment completed .

Re-Root Canal treatment
Get Direction

Karve Rd, opp. Saraswat Bank, Nal Stop, Pune, Maharashtra 411004

Call Today

+9172640 08000